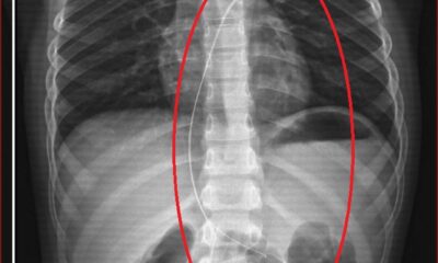
Şırnak’ta yaşayan Semra (37) ve Mehmet Ötün (40) çiftinin oğulları Aram Devran Ötün, mayıs ayında piknikteyken salatalık parçası yuttuktan sonra öksürük ve kusma şikayetleri görülünce Şırnak...
İlçedeki Kışla Mahallesinde arazisine gidenler, bir domuzun boş sulama havuzuna düşüp mahsur kaldığını gördü. İhbar üzerine bölgeye itfaiye ekipleri sevk edildi. Ekipler, aparat yardımıyla domuzu kurtardı....
ANKARAda Bilgisayar Mühendisliği Bölümü öğrencileri Ali Efe Karagül, Murat Hatunoğlu ve Anıl Yaşartürk, cerrahi operasyonlara artırılmış gerçeklik (gerçek görüntülerin bilgisayarla işlenmesi sonucunda interaktif bir hale getirilmesi)...
Türk Devletleri Teşkilatı (TDT) 11’inci Gümrük İdaresi Başkanları Toplantısı, Ticaret Bakan Yardımcısı Sezai Uçarmak’ın katılımıyla, Kazakistan’ın Türkistan şehrinde gerçekleştirildi. Toplantıda, Türk Dünyası 2040 Vizyonu rehberliğinde, üye...
GAZZEye yardımlara yönelik İsrail ablukasını kırmak için 44ten fazla ülkenin desteğiyle oluşturulan Küresel Sumud Filosu’nda, Antalya’dan da 3 aktivist yer alıyor. Filistin ile dayanışma ve İsrail...
BATMAN’da öğrencilerin güvenli taşınması amacıyla 250 okul servis aracı denetlendi, şoförlere uygulamalı eğitim verildi. İl Emniyet Müdürlüğü Trafik Tescil ve Denetleme Şube Müdürlüğü, İl Jandarma Komutanlığı...
BOLU’nun Göynük ilçesindeki Çubuk Gölü’ndeki çöpler, köylüler tarafından temizlendi. ‘Sakin şehir’ ünvanlı Göynük ilçesindeki Çubuk Gölü çöple kaplandı. Gölün yakınındaki Çubuk köyünün muhtarı Yüksel Sağıt ile...
‘Sakin şehir’ ünvanlı Göynük ilçesindeki Çubuk Gölü çöple kaplandı. Gölün yakınındaki Çubuk köyünün muhtarı Yüksel Sağıt ile köyde yaşayan Mustafa Çelik, gölde biriken çöpleri topladı. Sağıt,...
Türkiye’de alışveriş merkezinde düzenlenecek ‘Okula Dönüş Kampı’, 6 – 28 Eylül tarihleri arasında Akmerkez’de çocukları bekliyor. Doğadan ilham alan atölyeler, kamp ateşi etrafında anlatılan masallar, oyun...
ÖMER FARUK İÇİN GÖZLER TAHKİMDE Karşıyaka, Profesyonel Futbol Disiplin Kurulundan 8 ay men cezası alan yeni golcüsü Ömer Faruk Sezgin için Tahkim Kuruluna yapılan itirazın sonucunu...
İrlandalı forveti kadroya dahil edebilmek için görüşmelere başlayan Göztepe, yabancı kontenjanından dolayı bu sezon transfer ettiği 19 yaşındaki Ürdünlü forvet İbrahim Sabrayı kiralamaya karar verdi. Romulo...
KONYA’da Karahöyük’te yürütülen arkeolojik kazı çalışmalarında 3 bin 500 yıllık kartal başlı insan figürlü mühür bulundu. Doç. Dr. Gonca Dardeniz Arıkan, “İnsan bedenli tek başlı kartal...
Etimesgut ilçesinde 18 Şubat’ta İsmail Kara, boşanma davası tamamlanmasına rağmen, boşanma kararları henüz kesinleşmeyen eşi Selma Kara ile konuşmak için evine gitti. Çıkan tartışmada İsmail Kara,...
Anlaşmanın alt lig kulüpleri için yeni bir gelir kalemi oluşturacağına dikkat çeken TFF Başkanvekili Mecnun Otyakmaz, “İlk kez 2’nci ve 3’üncü Lig maçları için ihale açıldı....
Başkent Üniversitesi Bilgisayar Mühendisliği Bölümü öğrencileri Ali Efe Karagül, Murat Hatunoğlu ve Anıl Yaşartürk, Doç. Dr. Emre Sümer danışmanlığında geliştirdikleri ARVİON projesiyle cerrahi operasyonlara artırılmış gerçeklik...